C
Clarity News Hub

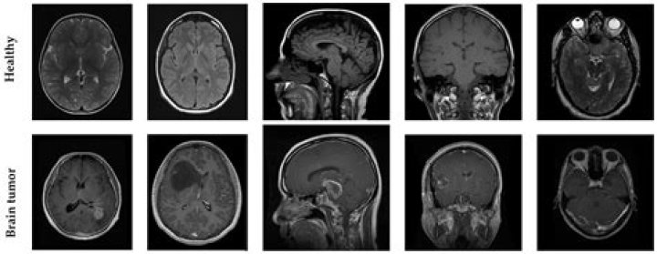
How do they find brain tumors?

Author

William Rodriguez

Published Jan 23, 2026

In general, diagnosing a brain tumor usually begins with magnetic resonance imaging (MRI). Once MRI shows that there is a tumor in the brain, the most common way to determine the type of brain tumor is to look at the results from a sample of tissue after a biopsy or surgery.

How do you detect a brain tumor?

Diagnosing a brain tumor usually involves a neurological exam, brain scans and a biopsy, if it can be done safely. A neurological exam may include a variety of tests to evaluate neurological functions such as balance, hearing, vision and reflexes.

What were your first symptoms of a brain tumor?

Brain Tumor: Symptoms and Signs

  • Headaches, which may be severe and worsen with activity or in the early morning.
  • Seizures. People may experience different types of seizures. Certain drugs can help prevent or control them. ...
  • Personality or memory changes.
  • Nausea or vomiting.
  • Fatigue.
  • Drowsiness.
  • Sleep problems.
  • Memory problems.

Can you have a brain tumor and not know?

Some people with a brain or central nervous system tumor have no symptoms. In some cases, doctors discover a tumor during treatment for another issue. As a brain tumor grows and presses on surrounding nerves or blood vessels, it may cause symptoms.

Can a doctor tell if you have a brain tumor?

Most of the time, doctors can't tell what causes a brain tumor. There are only a few known risk factors for brain tumors in adults. Exposure to radiation. Children who receive radiation to the head have a higher risk of developing a brain tumor as adults.

18 related questions found

What does a brain tumor headache feel like?

For most individuals, a brain tumor headache is localized to a specific area and is typically worse in the early morning or at night. They can be dull, pressure-like headaches that are made worse by coughing or sneezing. Over time, these headaches stop responding to over-the-counter medication.

Can you feel if you have a brain tumor?

The brain plays an important role in feeling sensations throughout the body. So brain tumors can cause numbness and tingling in the face, arms, hands, legs and feet.

Can phones cause brain tumors?

In one study that followed more than 420,000 cellphone users over a 20-year period, researchers found no evidence of a link between cellphones and brain tumors.

At what age brain tumor can occur?

Brain tumor symptoms can develop in people of all ages – including teens. In recent years, nearly 13% of all new brain cancers were diagnosed in patients under the age of 20, and another 9% were diagnosed in patients between the ages of 20 and 34.

How common are brain tumors by age?

93% of primary brain and CNS tumors are diagnosed in people over 20 years old; people over 85 have the highest incidence. The average age at diagnosis is 57.

How long can a brain tumor go unnoticed?

COLUMBUS, Ohio – A new study suggests that changes in immune function can occur as long as five years before the diagnosis of a brain tumor that typically produces symptoms only three months before it is detected.

Can stress cause brain tumors?

Stress induces signals that cause cells to develop into tumors, Yale researchers have discovered. The research, published online Jan.

Can stress and anxiety cause brain tumors?

No, being stressed doesn't directly increase the risk of cancer. The best quality studies have followed up many people for several years. They have found no evidence that those who are more stressed are more likely to get cancer.

Where do brain tumors start?

They originate from cells within or surrounding the brain, do not contain cancer cells, grow slowly, and typically have clear borders that do not spread into other tissue. Malignant: Malignant brain tumors contain cancer cells and often do not have clear borders.

Can you get rid of a brain tumor?

Benign (non-cancerous) brain tumours can usually be successfully removed with surgery and do not usually grow back. It often depends on whether the surgeon is able to safely remove all of the tumour. If there's some left, it can either be monitored with scans or treated with radiotherapy.

Can WiFi cause brain tumors?

Wi-Fi uses electromagnetic radiation to connect electronic devices. Some people believe that it can contribute to the development of cancer. But there's no solid evidence that Wi-Fi causes health risks in humans.

How can you prevent brain tumors?

There's no way to prevent brain cancer, but you can reduce your risk by avoiding:

  1. exposure to pesticides and insecticides.
  2. exposure to carcinogenic chemicals.
  3. smoking.
  4. unnecessary exposure to radiation.

How far should my phone be when I sleep?

Your phone should be at least three feet away from your bed to limit exposure to radiofrequency energy. If you need to use your phone as an alarm, turn on airplane mode to prevent it from sending or receiving calls and text messages. During the day, carry your phone in a purse or bag, rather than in your pocket.

Where are most brain tumors located?

Their most common locations are the base of the skull and the lower portion of the spine. Although these tumors are benign, they may invade the adjacent bone and put pressure on nearby neural tissue.

Would a brain tumour show in blood test?

Blood tests are not used to diagnose brain or spinal cord tumours. However, they are routinely done to provide a baseline before any planned treatment. They can provide helpful information about your general health, how other organs are functioning, other medical conditions and the possible risks of treatment.

Do brain tumors hurt?

Brain Cancer Facts

Some brain tumors do not cause headaches at all, since the brain itself isn't capable of sensing pain. Only when a tumor is large enough to press on nerves or vessels do they cause headache.

How do I know if my headache is a brain tumor?

Symptoms of a brain tumor headache

  1. headaches that wake you up at night.
  2. headache pain that changes as you change positions.
  3. headache pain that doesn't respond to standard pain relievers such as aspirin, acetaminophen (Tylenol), or ibuprofen (Advil)
  4. headaches that last for days or weeks at a time.

Can CT scans detect brain tumors?

You usually have a CT scan of the brain to help diagnose a brain tumour. It can help to find where the tumour is and whether it has spread. You may also have a CT scan of your tummy (abdomen) and chest to check whether you have cancer anywhere else in your body.

Is brain tumor painful to touch?

The most basic is that a tumor can raise your intracranial pressure (pressure inside the skull) and cause stretching of the dura—the covering of the brain and spinal cord. This can be painful, because the dura has sensory nerve endings.

Can a virus cause a brain tumor?

Several viruses have been linked to the etiology of brain tumors including CMV and other herpes viruses, such human herpes virus 6 (HHV-6 or roseolovirus), John Cunningham Virus (JCV; a polyomavirus); adenoviruses and Simian virus 40 (SV40), and others (30, 34).